Clear Aligners / Invisible Braces

Clear Aligners are transparent special material which are used to straighten teeth just like braces.
They use gentle forces to move the teeth in the required position in a more comfortable way compared to braces. They are custom made for each patient through a digital scan.
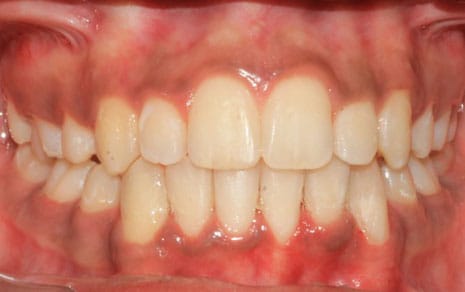
Before
After
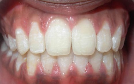
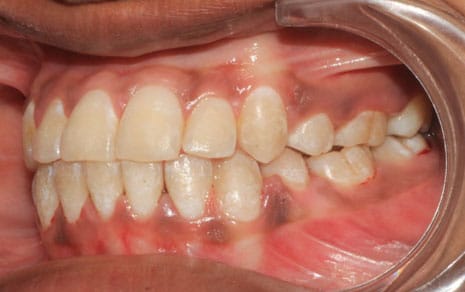
Before
After
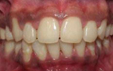
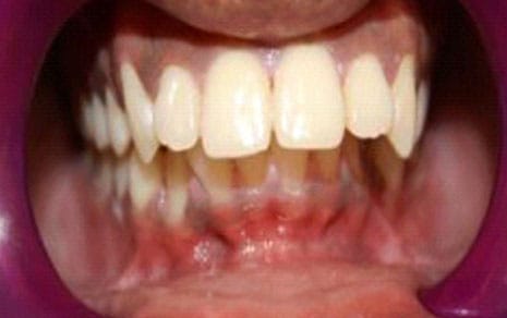
Before
After
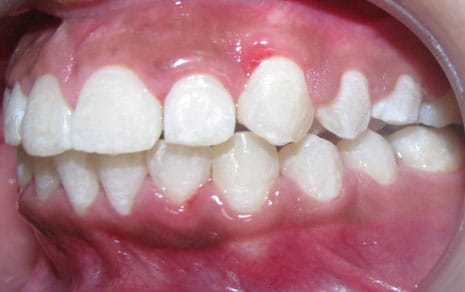
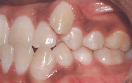
Before
After
Before
After
Before
After
They are custom made for every person and designed to move teeth in the desired direction very very slowly. This is achieved by digitally capturing impression and processing the information using specialized software, where the future projections for better results and straighter teeth are computed and then the milling machine automatically custom fabricates the set of trays for you. On average, a person needs approximately 25-40 sets for complete alignment.
The clear aligners or invisible braces come with an advantage i.e. they are very snugly fitting which over a period becomes virtually a part of the body and hence causes no speech problems. There are no restrictions on eating and drinking any foods as you will be removing them before every meal.
| Traditional Braces | Clear Aligners / Invisible Braces | |
|---|---|---|
| Visibility | Highly Noticeable | Invisible – One cannot spot them easily |
| Removability | Non – Removable | Removable – People have freedom to remove aligners while eating, brushing & flossing |
| Oral Hygiene | Difficult to maintain routine healthy Oral Care | Since removable, it is easy to maintain routine healthy Oral Care |
| Comfort | Can cause abrasion in mouth | Fits smoothly on the teeth |
| Duration | Takes longer than aligners(varies from case to case) | Takes relatively less time than traditional braces(varies from case to case) |
Though clear aligners or invisible braces are the most comfortable option, yet there are certain things that need to be kept in mind while you have it on. Your Orthodontist will give you a set of guidelines that should be followed diligently such as below:
- You should wear the aligners for at least 20 hours a day for the effective results
- Remove your aligners while brushing, flossing & eating. Never have it on especially while consuming anything hot
- Keep your aligners clean. While you brush make sure that you brush your aligners in the same way
- Keep them safe in the box as given by your Orthodontist to prevent it from getting dirty
- Retain your smile with Retainer – Just because you’ve got your teeth straightened does not necessarily mean that it will stay straight throughout. Your Orthodontist might advise retainers which will prevent your teeth to shift back to their previous location
- Take care of your food habits – It may so happen that your teeth are sensitive after the treatment, therefore, it is advised to not consume, too crunchy food for a few days. Let your smile rest before going back to the crunchy munchy snacks
- Do not forget to brush – Keep up your habit of brushing twice a day and flossing in order to keep your teeth clean and healthy. Not taking good care of your oral hygiene will let the treatment go in vain.
- Visit your dentist – Because you are done with your treatment and have got that perfect smile you always desired for does not mean that you need not visit the dentist ever. Always visit a dentist after every 6 months to ensure that this smile remains intact.
Dental Braces are a powerful solution for addressing various dental concerns, from crooked and crowded teeth to gaps and rotations. With options ranging from traditional metal braces and aesthetic ceramic braces to nearly invisible solutions, you can choose the perfect fit for your dental needs. Not only do braces enhance the beauty of your smile, but they also boost its health and functionality. Choose braces and invest in a confident, radiant smile.
The types of dental / teeth braces (teeth clips) are: Metal braces, Self-ligating braces and Clear or invisible aligners / braces.
After bonding the dental braces, it takes about 1-2 hours for the process of putting on the dental braces for teeth to finish.
Usually, orthodontists do not recommend tooth extraction for fixing teeth braces. But if there is a serious crowding issue, one or two teeth need to be removed.
There is a variety of braces available and it depends on the patient getting them. If the patient wishes so, they can even get transparent/ceramic braces as well. For more information on what kind of braces will be more suitable for your needs, visit a Dental specialist at Clove Dental
Getting or having braces is not painful. However, slight discomfort and soreness are usual after getting them. Apart from this, metal braces may feel to be a little tight after getting them readjusted on a follow-up visit to the orthodontist.
The total duration of wearing dental or tooth braces depends on multiple factors that include the condition of teeth and compliance to oral care practices. Usually, the duration may vary from 18-36 months.
While wearing dental braces for teeth, one must definitely avoid any carbonated drinks, sticky food, and crunchy food including ice and popcorn.